
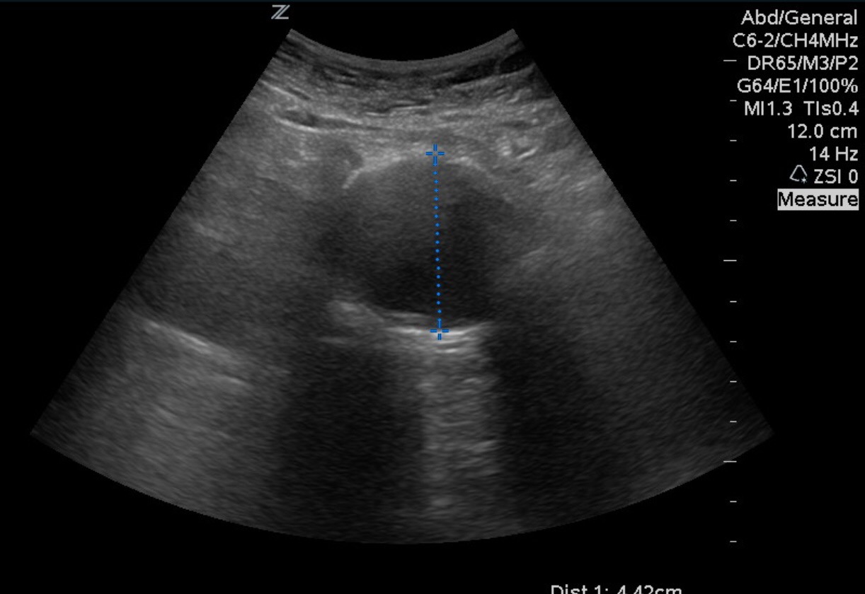
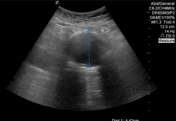
When measuring the abdominal aorta you need anterior to posterior OUTER diameter. Not inner diameter. This was large enough it didn’t matter.
QA of the Day, Sono Photo, Sono Stuff
QA of the Day #pocus #foamed #foamus #meded
QA of the Day, Sono Photo, Sono Stuff