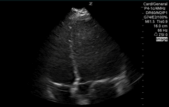
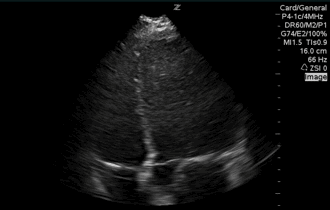
QA of the Day, Sono Stuff QA of the Day #pocus #ultrasound #foamed #foamus Date: July 7, 2016Author: Mike 0 Comments Nice apical 5ish. Let’s perfect it and add some depth. Share this: Share on X (Opens in new window) X Share on Facebook (Opens in new window) Facebook Like Loading...