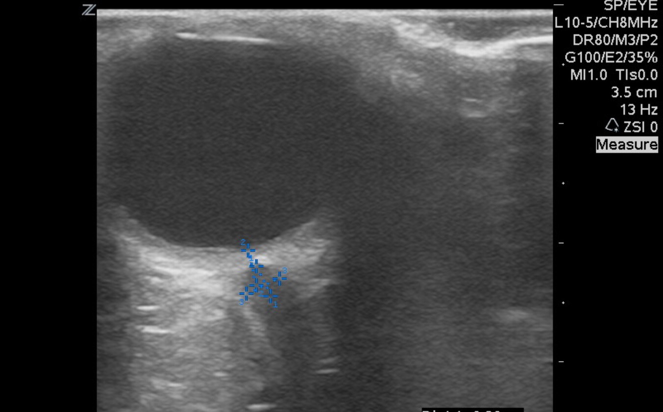
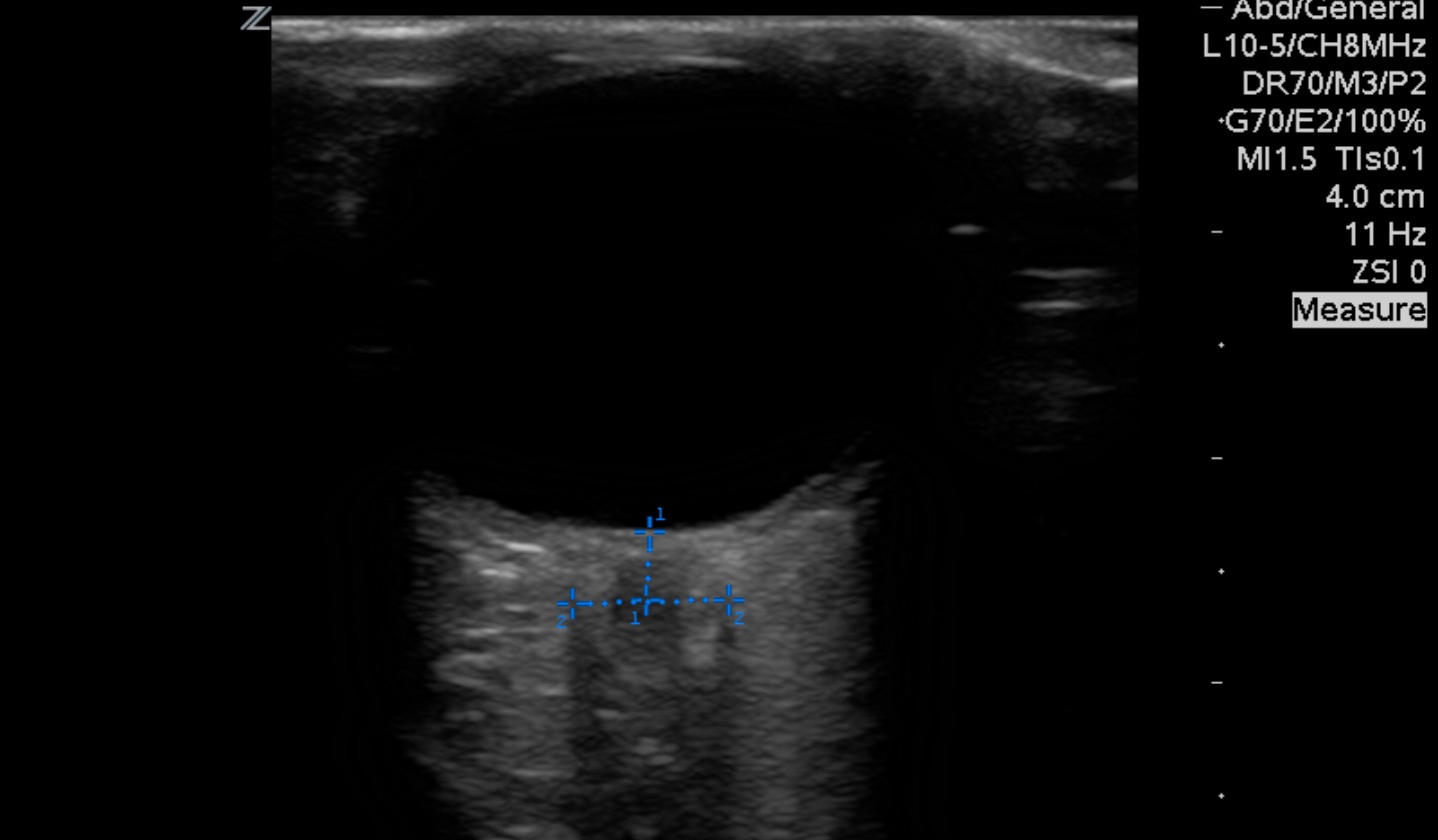
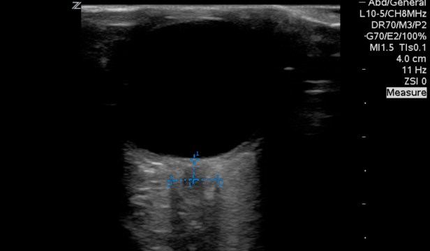
So close, but a few too many measurements. When evaluating for optic nerve sheath diameter or ONSD measure 3mm from the retina into the optic nerve. Then measure the diameter left to right. A value of more than 5mm in adults suggests an elevated intracranial pressure.
QA of the Day #pocus #foamed #foamus #meded


