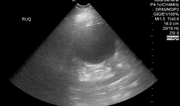
Scanning the right upper quadrant of the abdomen sees what he/she thinks is a AAA, but actually is a large renal cyst. Make sure to scan the structure in it’s entirety in two planes. Also, decrease your depth and gain.

Scanning the right upper quadrant of the abdomen sees what he/she thinks is a AAA, but actually is a large renal cyst. Make sure to scan the structure in it’s entirety in two planes. Also, decrease your depth and gain.
