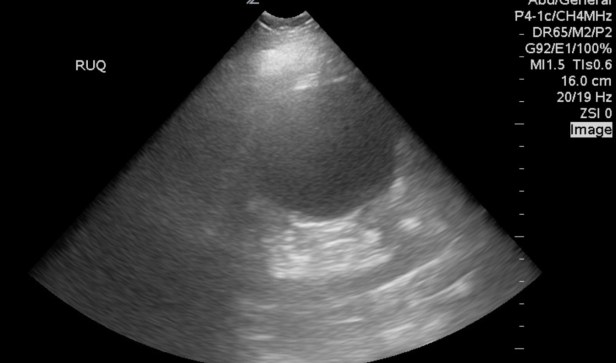
When evaluating a patient with right upper quadrant pain the trainee found the below structure and became immediatly terrifed she came across an abdominal aortic aneurysm. As a resident myself I had a terrifying case where the patient came in with right upper quadrant pain and my POCUS revealed a ruptured AAA. However, in this case it was the classic fake out renal cyst. As we scanned further, fanned through in two planes it became clear this structure originated from the kidney. Also, the aorta next door was a normal diameter….

