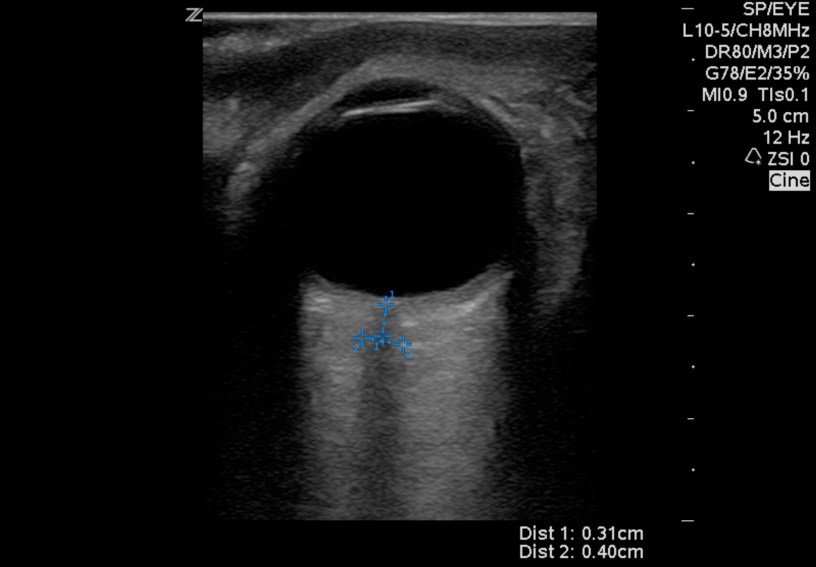
Two awesome medical students Nick and Max tackle optic nerve sheath diameter or ONSD in this months NUSIG journal club podcast. Is it useful? How do you peform the exam? What’s the sensitivty to rule out elevated intracranial pressure?
Sono Medical School, Sono Stuff
National #Ultrasound Interest Group Journal Club – Topic ONSD #pocus #foamed #foamus
