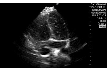
When you see both ventricles pretty well but not he atrium you are foreshortened in the aprical four chamber echocardiography view. Flatten the probe (proximal probe closer to the chest wall) and open up all four chambers.

When you see both ventricles pretty well but not he atrium you are foreshortened in the aprical four chamber echocardiography view. Flatten the probe (proximal probe closer to the chest wall) and open up all four chambers.
