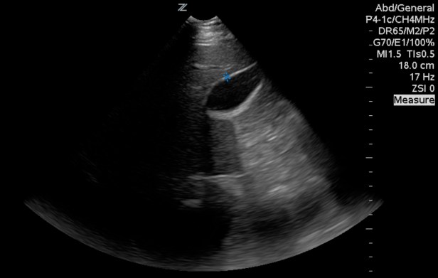
Go anterior along the liver to measure gallbladder wall thickness. > 3mm is abnormal and may be due to cholecystitis (ascities is another common cause of gallbladder wall thickening). You should also look for a sonographic Murphy’s sign, stones, sludge, pericolecystic fluid, and evaluate the common bile duct if possible. Measuring the posterior gallbladder wall is more often inaccurate with posterior acoustic enhancement and adjacent bowel with intraluminal air.
Wrong way:

Right way:

