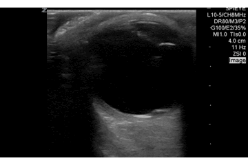
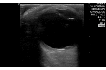
QA of the Day, Sono Stuff QA of the Day. Ocular movements for retinal detachment #POCUS #foamus #foamed Date: October 4, 2016Author: Mike 0 Comments Want to identify more subtle retinal or vitreous detachments? Evaluate with ocular movements. Share this: Share on X (Opens in new window) X Share on Facebook (Opens in new window) Facebook Like Loading...