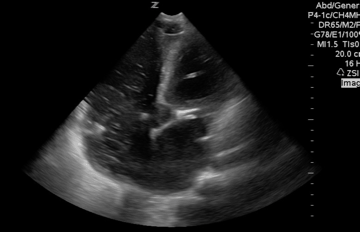
Here we have an apical 4 chamber view with right ventricle dilation, IV fluid and blood swirling in the right heart and basically no cardiac activity. It should only take three seconds to check the heart and minimize interruptions and CPR. It is far superior than palpating for a pulse and it can be prognostic as well as identify underlying arrhythmias.
QA of the Day, Sono Instruction, Sono Stuff
The #POCUS pulse check. Better than palpation. Takes <3 sec, identifies arrhythmias and underlying etiologies #foamed #foamus

