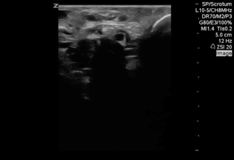
Big p0ints if you can nail this diagnosis. Almost never see it in the developed world unless you are like this patient who recently travelled to Uganda.
He had scrotal pain for weeks, misdiagnosed as sexually transmitted infectious despite negative testing.
Answer: filariasis.
See the multiple cystic looking structures next to the testicle? Those are not blood vessels. Time to call up the CDC for some experimental treatment.
I’m going to work extra hard to avoid mosquitos during my time there.
Safe scanning and travels to all.

