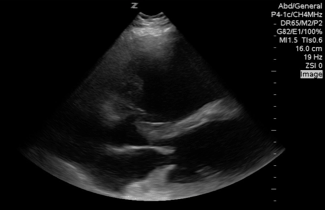
Needs more depth and change the mode to cardiac, but that is a huge RV in the parasternal Long view with an apparent akinetic Apex consistent with tokotsubo vs Acute coronary syndrome less likely acutely elevated right-sided heart pressures seen here with septal bowing right into the mitral valve.
QA of the Day: Huge RV in PSL view with septal bowing takotsubo #pocus #foamus

