Skip to content
  • Home
  • About
  • POCUS Resources
  • Contact
  • Books
  • Home
  • Facebook
  • Twitter
  • Google+
  • Instagram
  • YouTube Channel
  • Contact
  • Search

SonoStuff

Education and entertainment for the ultrasound enthusiast

  • Sono of the Week
  • Sono Instruction
  • Sono Medical School
  • QA of the Day
  • Global Ultrasound
  • Focus on Pocus

Sono Instruction, sono of the week, Sono Stuff

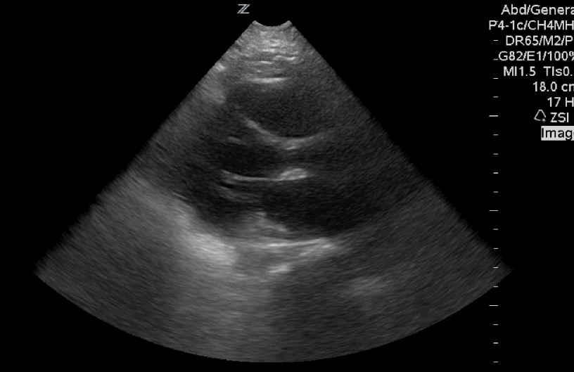
#FOAMus #FOAMcc and #disco all in one for this #Sono of the Week #POCUS in V Fib

Date: June 19, 2017Author: Mike 1 Comment

Share this:

  • Share on X (Opens in new window) X
  • Share on Facebook (Opens in new window) Facebook
Like Loading...
echocardiographyventricular fibrillationvfib
Unknown's avatar

Published by Mike

View all posts by Mike

Post navigation

Previous Previous post: #Sono of the Week – AAA. Great #POCUS sensitivity and specificity #foamus #foamed #ultrasound
Next Next post: Sono of the Week – Bladder Mass, Bladder Snowglobe #pocus #foamus #foamed #ultrasound

One thought on “#FOAMus #FOAMcc and #disco all in one for this #Sono of the Week #POCUS in V Fib”

Add Comment

  1. Lilly's avatar Lilly says:
    February 19, 2023 at 3:50 am

    Hii thanks for sharing this

    LikeLike

    Reply

Leave a comment Cancel reply

Enter your email address to follow this blog and receive notifications of new posts by email.

Follow SonoStuff on WordPress.com

Follow me on Twitter

My Tweets

Center for Ultrasound Excellence

Center for Ultrasound Excellence

SonoStuff

2016-04-15 09.06.11
OLYMPUS DIGITAL CAMERA
OLYMPUS DIGITAL CAMERA
OLYMPUS DIGITAL CAMERA
OLYMPUS DIGITAL CAMERA
photo-dec-14
20161216_124004
OLYMPUS DIGITAL CAMERA
OLYMPUS DIGITAL CAMERA
photo-dec-06
photo-dec-08
photo-dec-10
20161215_090632
photo-nov-10
photo-nov-10-5
photo-nov-10-3
cropped-10606088_10101700422840858_6259585336254709324_n-2.jpg
photo-nov-10-2
OLYMPUS DIGITAL CAMERA
OLYMPUS DIGITAL CAMERA
OLYMPUS DIGITAL CAMERA
OLYMPUS DIGITAL CAMERA
OLYMPUS DIGITAL CAMERA
OLYMPUS DIGITAL CAMERA
OLYMPUS DIGITAL CAMERA
OLYMPUS DIGITAL CAMERA
OLYMPUS DIGITAL CAMERA
OLYMPUS DIGITAL CAMERA
OLYMPUS DIGITAL CAMERA
OLYMPUS DIGITAL CAMERA
OLYMPUS DIGITAL CAMERA
OLYMPUS DIGITAL CAMERA
OLYMPUS DIGITAL CAMERA
OLYMPUS DIGITAL CAMERA
OLYMPUS DIGITAL CAMERA
OLYMPUS DIGITAL CAMERA
OLYMPUS DIGITAL CAMERA
OLYMPUS DIGITAL CAMERA
OLYMPUS DIGITAL CAMERA
OLYMPUS DIGITAL CAMERA
OLYMPUS DIGITAL CAMERA
OLYMPUS DIGITAL CAMERA
OLYMPUS DIGITAL CAMERA
OLYMPUS DIGITAL CAMERA
OLYMPUS DIGITAL CAMERA
OLYMPUS DIGITAL CAMERA
OLYMPUS DIGITAL CAMERA
OLYMPUS DIGITAL CAMERA
OLYMPUS DIGITAL CAMERA
OLYMPUS DIGITAL CAMERA
OLYMPUS DIGITAL CAMERA
OLYMPUS DIGITAL CAMERA
OLYMPUS DIGITAL CAMERA
OLYMPUS DIGITAL CAMERA
OLYMPUS DIGITAL CAMERA
OLYMPUS DIGITAL CAMERA
OLYMPUS DIGITAL CAMERA
OLYMPUS DIGITAL CAMERA
history of ultrasound front copy
img_1825
Figure 10 students scanning models
img_0557
img_0553
img_0555
img_0600
img_0427
img_0601
img_0599
img_0718
img_0728
img_0727
Instructional video front copy
12742639_1302836196399327_5413133503111385961_n-2
instructional video front students 2 copy

© 2026 SonoStuff

Blog at WordPress.com.

Privacy & Cookies: This site uses cookies. By continuing to use this website, you agree to their use.
To find out more, including how to control cookies, see here: Cookie Policy
  • Comment
  • Reblog
  • Subscribe Subscribed
    • SonoStuff
    • Join 78 other subscribers
    • Already have a WordPress.com account? Log in now.
    • SonoStuff
    • Subscribe Subscribed
    • Sign up
    • Log in
    • Copy shortlink
    • Report this content
    • View post in Reader
    • Manage subscriptions
    • Collapse this bar

Loading Comments...

    %d