Category: QA of the Day
22 Posts
QA of the Day, Sono Medical School, Sono Stuff
QA of the Day. Know where to measure GB wall thickness #foamus #foamed #meded #pocus
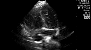
QA of the day. Foreshortened Apical 4 Chamber View. Flatten that probe #pocus #foamus #meded
QA of the Day. Yes, she has a femoral DVT! Now turn down the gain! My eyes! #pocus #foamus
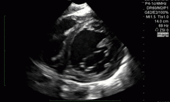
QA of the day. Nice PSS! Global hypokinesis, low EF. Mitral valve view, septum and moderator band. #pocus # foamed # foamus # meded
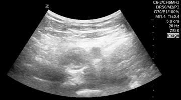
QA of the Day. Not a +FAST in LUQ. Fluid filled stomach #pocus #foamed #foamus #meded
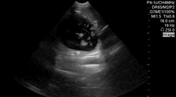
QA of the Day. Renal Cyst Fake Out AAA. #POCUS #FOAMED #FOAMUS
QA of the Day – Depth. 1-2 cm of additional depth best. #pocus #foamed #foamus #meded
QA of the Day #pocus #foamed #foamus #meded #ultrasound
